دلایل و راه حل های عجیب به نظر رسیدن دندان ها بعد از بریس ها
در اين نوشته می خوانيد :
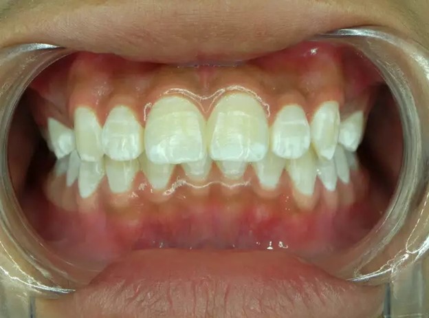
وقتی به برداشتن بریس ها فکر می کنید، هیجان زیادی دارید، زیرا فکر می کنید دندان هایی زیبا و لبخندی زیباتر خواهید داشت. اما، اگر دندان ها بعد از بریس ها عجیب به نظر برسند چه؟
انواع مختلفی از شکایات در مورد احساسات مختلف پس از برداشتن بریس ها وجود دارند. برخی افراد ممکن است بگویند: “من دندان هایم را بعد از بریس دوست ندارم”. حتی تعداد کمی از افراد ممکن است بگویند: “دندان هایم بعد از بریس ها بدتر به نظر می رسند.” اما، چرا؟
در این مقاله، شما خواهید دانست که چرا دندان هایتان ممکن است بعد از بریس ها عجیب به نظر برسند، با چه مشکلات دیگری ممکن است روبرو شوید و راه حل آنها چیست.
چرا دندان هایتان بعد از بریس ها عجیب به نظر می رسند؟
دلایل مختلفی وجود دارند که ممکن است دندان هایتان بعد از برداشتن بریس ها بسیار عجیب یا بد به نظر برسند. بیایید آن را کشف کنیم.
انتظارات غیر واقعی
بسیاری از افراد قبل از استفاده از بریس ها، انتظارات غیر واقعی دارند و بعداً پس از درمان با بریس ها ناراحت می شوند. اول از همه، باید در مورد شدت مشکل خود بدانید. بله، امروزه به لطف ارتودنسی مدرن و دندانپزشکی زیبایی، می توانیم تقریباً همه موارد ارتودنسی را به خوبی درمان کنیم. اما اگر مورد شما شدید یا نامطلوب باشد، ممکن است به آنچه می خواهید نرسید. با این حال، همیشه می توانید انتظار داشته باشید که پس از ارتودنسی، دندان هایتان مرتب تر و لبخندتان زیباتر شود. بیایید در مورد آن بیشتر بدانیم.
فرض کنید که به دلیل ناهماهنگی ساختار استخوان های فک با دندان هایتان، اما به دلیل اندازه و این ناهماهنگی ها، دچار اوربایت یا کجی دندان هستید. به این مورد مشکل اسکلتی گفته می شود. در این صورت، ممکن است پس از درمان ارتودنسی به تنهایی، به آنچه می خواهید نرسید.
از سوی دیگر، اگر به دلیل ناهماهنگی دندان ها یا اختلاف بین طول دو قوس دندانی و جنس دندان ها، بین دندان ها فاصله، اوربایت یا فشردگی دارید، می توانید پس از ارتودنسی لبخند و دندان های زیبایی داشته باشید. علاوه بر این، اینکه دندان های شما عجیب به نظر برسند یا نه، به اندازه، شکل و موقعیت لب های شما نیز بستگی دارد. بریس ها می توانند مرتب بودن دندان های شما را تغییر دهند، اما نمی توانند مستقیماً لب های شما را تغییر دهند. بعد از برداشتن بریس ها، دندان ها و لب هایتان در موقعیت بهتری قرار می گیرند، زیرا دندان ها از موقعیت قبلی خود را جابجا می شوند. اما اگر لب هایتان خیلی ضخیم یا خیلی نازک، یا خیلی بالا یا خیلی پایین باشند، ممکن است انتظارات شما را برآورده نکنند. بنابراین، اگر دندان ها و لبخندتان واقعاً عجیب به نظر می رسند یا نتیجه انتظارات بالای شماست، باید در مورد آن کاملاً شفاف باشید.
راه حل
اگر می خواهید از نتایج درمان خود ایده ای داشته باشید، می توانید از ارتودنتیست خود درخواست طراحی لبخند دیجیتال یا تغییر شکل لبخند کنید. این به شما ایده ای از نتایج بالقوه تان می دهد. اما، دستیابی به نتیجه 100% همانطور که در تصویر تولید شده توسط کامپیوتر دیده می شود، امکان پذیر نیست. بنابراین، باید در مورد انتظارات خود واقع بین باشید.
تصور غلط
درست مانند انتظارات بالا، تصور غلط می تواند دلیل دیگری باشد. ممکن است فکر کنید دندان هایتان بعد از برداشتن بریس ها عجیب به نظر می رسند. اما در واقعیت، ممکن است درست نباشد. سال هاست که به چهره، لبخند و دندان های اصلی خود نگاه می کنید. اما، بعد از ارتودنسی، ظاهر صورت شما تغییر زیادی می کند. خط فک شما نیز ممکن است کمی تغییر کند. بنابراین، از آنجا که با این ظاهر آشنا نیستید، ممکن است تصور اشتباهی داشته باشید که لبخند و دندان هایتان عجیب یا بدتر به نظر می رسند.
راه حل
این مشکل با گذشت زمان قابل حل است. به مغز خود کمی زمان بدهید تا با ظاهر جدید سازگار شود. اما اگر هنوز ظاهر جدید خود را دوست ندارید، می توانید با متخصص ارتودنسی خود مشورت کنید و آن را اصلاح کنید.
شکست ارتودنسی
در این دنیا، نمی توانید با اطمینان بگویید که هر بار که کاری انجام می دهید، موفق خواهید شد. بنابراین، ارتودنسی نیز می تواند شکست بخورد. اما، این اتفاق بسیار نادر است. اگر به یک متخصص ارتودنسی دارای مجوز مراجعه کنید تا دندان های شما را مرتب کند، درمان ارتودنسی نباید شکست بخورد. با این حال، گاهی اوقات اگر بیمار به طور مداوم توصیه های ارتودنتیست را نادیده بگیرد، می تواند مسئول این امر باشد. دلیل این امر این است که درمان ارتودنسی به صبر و شکیبایی زیادی نیاز دارد. حتی پس از ارتودنسی، وقتی از ریتینر استفاده می کنید، اگر به درستی از آنها استفاده نکنید، ممکن است منجر به فلر شدن دندان ها شود. این امر منجر به دندان های عجیب و غریب می شود.
راه حل
راه حل این مشکل بسیار ساده است. اگر توصیه های ارتودنتیست را نادیده گرفته اید، نمی توانید لبخند و دندان های زیبایی داشته باشید. اما، همیشه می توانید با ارتودنتیست خود مشورت کنید و مشکل را اصلاح کنید. درمان ارتودنسی یک سرمایه گذاری بلند مدت است. بنابراین، باید در مورد آن بسیار مراقب باشید. در صورت داشتن هرگونه شک یا مشکلی، با ارتودنتیست خود تماس بگیرید. او شما را در مسیر درست راهنمایی خواهد کرد. علاوه بر این، همیشه برای نتیجه بهتر با یک ارتودنتیست دارای مجوز و با تجربه مشورت کنید.
عدم استفاده منظم از نگهدارنده ها پس از ارتودنسی
پس از ارتودنسی، اگر به درستی از نگهدارنده ها استفاده نکنید، ممکن است دندان هایتان خراب شوند. علت این است که نگهدارنده ها دندان ها را در موقعیت جدید خود نگه می دارند و اگر آنها را به درستی استفاده نکنید، دندان ها پس از ارتودنسی به موقعیت قبلی خود یا یک موقعیت غیر منتظره منتقل می شوند. این امر منجر به دندان های عجیب پس از ارتودنسی می شود.
راه حل
اگر می خواهید دندان هایتان را در موقعیت جدید خود نگه دارید، باید طبق دستورالعمل ارتودنتیست خود، مرتباً از نگهدارنده ها استفاده کنید.
پینه در قسمت داخلی لب ها
پس از برداشتن براکت ها، متوجه خواهید شد که پینه هایی در قسمت داخلی لب هایتان ایجاد شده اند. این پینه ها معمولاً در نواحی حساس پوست ایجاد می شوند. این پینه ها می توانند دندان های شما را عجیب و غریب نشان دهند. با این حال، این پینه ها به مرور زمان از بین می روند.
راه حل
اگر می خواهید از شر این پینه ها خلاص شوید، می توانید از بالم لب یا وازلین برای مرطوب کردن لب هایتان استفاده کنید. همچنین می توانید از یک مسواک نرم برای لایه برداری ملایم لب هایتان استفاده کنید. اما اگر مشکل ادامه پیدا کرد، می توانید با متخصص ارتودنسی مشورت کنید.
رنگ ناهموار دندان ها

رنگ ناهموار دندان ها
یکی از رایج ترین مشکلاتی که پس از برداشتن بریس ها متوجه آن خواهید شد، تغییر رنگ دندان هایتان است. به طور خاص، رنگ دندان هایتان ناهموار به نظر می رسد. دلیل این امر این است که قسمت نمایان دندان ها پس از 1 الی 2 سال استفاده از بریس ها به دلیل غذا، نوشیدنی یا پلاک، تا حدودی تغییر رنگ می دهد.
راه حل
اگر می خواهید رنگ دندان هایتان را یکدست کنید، می توانید از خمیر دندان سفید کننده استفاده کنید یا برای سفید کردن حرفه ای دندان ها با دندانپزشک خود مشورت کنید. اما مطمئن شوید که دندان هایتان را بیش از حد سفید نمی کنید زیرا ممکن است به مینای دندان آسیب برساند.
تغییر رنگ دندان ها
رعایت بهداشت دهان و دندان با بریس ها ضروری است. دلیل این امر این است که بهداشت ضعیف دهان و دندان می تواند باعث تغییر رنگ دندان ها شود. بقایای غذا و پلاک باعث تغییر رنگ زرد دندان ها می شوند. علاوه بر این، بهداشت نامناسب دهان و دندان همچنین می تواند باعث پوسیدگی و حساسیت دندان پس از برداشتن بریس ها شود و وضعیت را بدتر کند.
راه حل
برای جلوگیری از این مشکل، باید روزی دو بار دندان های خود را مسواک بزنید و حداقل روزی یک بار نخ دندان بکشید. همچنین می توانید از دهانشویه ضد عفونی کننده برای از بین بردن باکتری های دهان خود استفاده کنید. علاوه بر این، باید برای معاینات و تمیز کردن منظم به دندانپزشک خود مراجعه کنید.
لکه سفید روی دندان ها
گاهی اوقات، ممکن است پس از برداشتن بریس ها، لکه های سفیدی روی دندان های خود مشاهده کنید. دلیل اصلی این امر، کلسیم زدایی یا دکلسیفیکاسیون است. این اتفاق زمانی رخ می دهد که بریس ها پلاک و باکتری ها را روی دندان ها به دام می اندازند و باعث از بین رفتن مواد معدنی مینای دندان می شوند. این می تواند از جذابیت لبخند شما بکاهد.
راه حل
حفظ بهداشت مناسب دهان و دندان می تواند از ایجاد لکه های سفید روی دندان ها جلوگیری کند. شما باید حداقل روزی یک بار دندان های خود را نخ دندان بکشید و حداقل دو بار در روز مسواک بزنید. همچنین می توانید از خمیر دندان حاوی فلوراید برای جلوگیری از دکلسیفیکاسیون استفاده کنید.
بازگشت دندان ها به موقعیت قبل

بازگشت دندان ها به موقعیت قبل
پس از برداشتن بریس ها، دندان های شما شروع به نشست می کنند. دندان ها تمایل دارند به موقعیت قبلی خود برگردند. حتی اگر از ریتینر استفاده کنید، ممکن است دندان ها کمی حرکت کنند. بی صبر نباشید زیرا این یک اتفاق طبیعی است که پس از بریس ها رخ می دهد. فقط حتماً مرتباً از ریتینر استفاده کنید.
راه حل
بهترین راه حل این است که طبق دستور متخصص ارتودنسی خود از ریتینر استفاده کنید. همچنین باید از خوردن غذاهای سفت و ترد و همچنین جویدن یخ یا سر خودکار خودداری کنید. نحوه غذا خوردن با بریس ها را بررسی کنید.
تغییر در لبخند
شایع ترین چیزی که پس از نصب بریس ها متوجه خواهید شد، تغییر در لبخند شماست. این به دلیل تغییر موقعیت دندان های شما است. همچنین ممکن است متوجه شوید که دندان های شما در عکس ها پس از برداشتن بریس ها متفاوت به نظر می رسند. با این حال، معمولاً پس از برداشتن بریس ها، ظاهر خوبی دارید.
راه حل
اگر از لبخند جدید خود راضی نیستید، می توانید با متخصص ارتودنسی مشورت کنید. آنها ممکن است بتوانند تغییراتی در دندان های شما ایجاد کنند. همچنین می توانید از خمیر دندان سفید کننده استفاده کنید یا دندان های خود را به صورت حرفه ای سفید کنید تا ظاهر دندان هایتان بهبود یابد.
سایر تغییرات پس از برداشتن بریس ها
بیایید نگاهی به آنها بیندازیم.
احساس عجیب هنگام غذا خوردن
ممکن است پس از برداشتن بریس ها، هنگام غذا خوردن احساس عجیبی داشته باشید. علت این است که موقعیت دندان های شما تغییر می کند و آنها به این موقعیت جدید عادت ندارند. کمی طول می کشد تا به این احساس جدید عادت کنید.
درد دندان
ممکن است دندان های شما پس از برداشتن بریس ها حساس باشند. این به دلیل موقعیت جدید دندان های شماست. با این حال، درد آنقدر شدید نیست و این حساسیت پس از مدتی از بین می رود.
درد در دهان
همچنین ممکن است پس از برداشتن بریس ها در دهان خود درد احساس کنید زیرا دهان شما برای عادت کردن به موقعیت جدید دندان هایتان به زمان نیاز دارد. اما، این درد پس از مدتی از بین می رود.
تغییر در گفتار
در حین استفاده از بریس ها، به صحبت کردن با آنها عادت می کنید. بنابراین، پس از برداشتن بریس ها، ممکن است متوجه تغییر در گفتار خود شوید. اما، این تغییر موقتی است و پس از مدتی از بین می رود.
احساسات متفاوت هنگام مسواک زدن و نخ دندان کشیدن

احساسات متفاوت هنگام مسواک زدن و نخ دندان کشیدن
پس از برداشتن بریس ها، هنگام مسواک زدن و نخ دندان کشیدن کمی تفاوت احساس خواهید کرد. با تغییر محل قرارگیری دندان ها، ممکن است احساس عجیبی داشته باشید. با این حال، پس از برداشتن بریس ها، احساس خوبی دارید زیرا می توانید درست مانند قبل از نصب بریس ها، آزادانه مسواک بزنید و نخ دندان بکشید.
سوزش در دهان
گاهی اوقات، ممکن است پس از برداشتن بریس ها، در دهان خود احساس سوزش کنید. علت این است که محل جدید دندان ها می تواند به لثه ها و گونه های شما فشار وارد کند. اما، این سوزش ظرف چند روز یا چند هفته از بین خواهد رفت.
حساسیت دندان
پس از برداشتن بریس ها، ممکن است دندان های شما نسبت به دمای گرم و سرد حساس تر شوند. علت این است که مینای دندان های شما در طول درمان با بریس ها آسیب دیده است. اما، این حساسیت موقتی است و در نهایت از بین می رود.
اگر دندان های شما پس از نصب بریس ها خیلی عجیب به نظر می رسند، چه باید کرد؟
اگر دندان هایتان بعد از ارتودنسی خوب به نظر نمی رسند، ممکن است لازم باشد علت آن را پیدا کنید. راه حل بر اساس علت خواهد بود. با این حال، اگر دندان هایتان بعد از ارتودنسی متفاوت به نظر می رسند، نگران نباشید. علت این است که مدتی طول می کشد تا دندان ها در موقعیت جدید خود قرار بگیرند. فقط مطمئن شوید که طبق دستور ارتودنتیست خود از نگهدارنده استفاده می کنید. علاوه بر این، اگر نگران ظاهر دندان هایتان هستید، می توانید با ارتودنتیست خود نیز مشورت کنید. اما، با این حال، اگر از ظاهر دندان هایتان بعد از ارتودنسی راضی نیستید، می توانید با ارتودنتیست خود مشورت کنید. آنها ممکن است بتوانند تغییراتی در دندان های شما ایجاد کنند.
چرا دندان هایم بعد از ارتودنسی کج به نظر می رسند؟
ممکن است دندان های شما به دلیل عدم استفاده صحیح از نگهدارنده، بعد از برداشتن براکت ها کج به نظر برسند. نگهدارنده برای حفظ موقعیت جدید دندان های شما مهم است. بدون آن، دندان های شما به آرامی به موقعیت اولیه خود باز می گردند. برای جلوگیری از این امر، حتماً نگهدارنده خود را طبق دستور ارتودنتیست خود استفاده کنید. اگر پس از استفاده از نگهدارنده طبق دستور پزشک، همچنان ظاهر دندان هایتان با فاصله به نظر می رسد، بهتر است با متخصص ارتودنسی خود مشورت کنید. آنها می توانند تشخیص دهند که آیا مشکل دیگری باعث این مشکل شده است یا خیر. دلیل دیگر می تواند به دلیل نحوه قرارگیری دندان های شما قبل از نصب بریس ها باشد. علاوه بر این، ممکن است متخصص ارتودنسی شما براکت های شما را خیلی بزرگ ساخته یا آنها را برای مدت طولانی روی دندان ها نگه داشته باشد. همچنین ممکن است بریس های شما به درستی نصب نشده باشند، اما این بسیار نادر است. اگر نگران ظاهر دندان های خود پس از نصب بریس ها هستید، با متخصص ارتودنسی خود صحبت کنید. آنها می توانند در تعیین علت مشکل و یافتن راه حل به شما کمک کنند.
در بیشتر موارد، ممکن است پس از برداشتن بریس ها بین دندان ها فاصله ایجاد نشود، زیرا قبل از برداشتن بریس ها، بایت ها اصلاح شده و دندان ها تراز شده اند.
چرا دندان های من پس از استفاده از بریس ها کج به نظر می رسند؟
اگر به طور منظم از نگهدارنده استفاده نکنید، دندان های شما می توانند پس از استفاده از بریس ها کج به نظر برسند. بدون نگهدارنده ها، دندان های شما ممکن است به تدریج به موقعیت قبلی خود بازگردند. با این حال، غیر معمول نیست که دندان ها پس از برداشتن بریس ها کمی کج یا بدشکل به نظر برسند، زیرا ممکن است دندان های شما به دلیل ثابت شدن کمی جابجا شده باشند. اما، اگر به درستی از نگهدارنده ها استفاده کنید، حتی پس از ثابت شدن هم نباید ظاهر شما عجیب به نظر برسد.
نکات کلیدی
دلایل زیادی وجود دارند که می توانند باعث شوند دندان های شما پس از برداشتن بریس ها عجیب به نظر برسند. با این حال، زیاد نگران نباشید زیرا بیشتر این مشکلات موقتی هستند و در نهایت از بین می روند. بنابراین، زیاد نگران آنها نباشید. فقط از لبخند جدید خود لذت ببرید.




دیدگاه خود را ثبت کنید
تمایل دارید در گفتگوها شرکت کنید؟در گفتگو ها شرکت کنید.